New Patients Call
571-520-9306
Current Patients Call
703-490-5888
Request Appointment
Our Office
Meet Dr. Joseph P. Cavallo
Meet Our Team
Patient Reviews
Dental Services
Cosmetic Dentistry
Porcelain Veneers
Teeth Bonding
General Dentistry
Emergency Dentistry
Family Dentistry
Sedation Dentistry
Tooth Extraction
Restorative Dentistry
Dental Bridge
Dental Crown
Dentures & Partials
Periodontal Disease Treatment
TMJ Treatment
Dental Implants
All On Four Dental Implants
Benefits of Dental Implants
Implant-Supported Dentures
Single-Tooth Dental Implants
Dental Concerns
Bleeding Gums
Missing Teeth
Tooth Pain
For Patients
Office Membership Plan
FAQ
Patient Forms
Payment & Insurance
Blog
Gallery
Video Testimonials
Contact Us
New Patients
571-520-9306
Current Patients
703-490-5888
Request Appointment
Leave a Review
Home
ยป
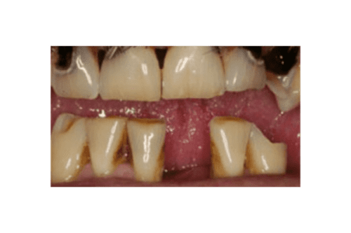
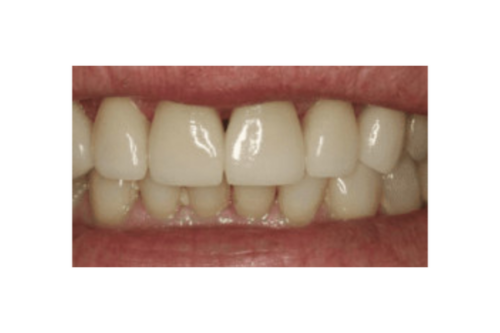
Smile Gallery
Woodbridge, VA, Dental
Smile Gallery